¿Por qué los dientes cambian de color y cómo solucionarlo?
El color de los dientes no siempre se mantiene blanco con el paso del tiempo. Factores como la alimentación, la higiene oral y la salud general influyen directamente en su apariencia.
Los cambios externos suelen deberse a manchas superficiales provocadas por café, té, vino tinto, tabaco o ciertos alimentos pigmentados. También la acumulación de placa y sarro oscurece el esmalte.
En cambio, las alteraciones internas ocurren cuando la dentina se oscurece, ya sea por traumatismos, uso prolongado de antibióticos en la infancia, exceso de flúor o el envejecimiento natural.
Para solucionarlo, existen diferentes opciones:
-
Limpieza dental profesional: elimina manchas y sarro superficiales.
-
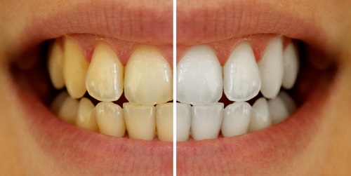
Blanqueamiento dental: aclara varios tonos mediante geles y luz LED en consulta o tratamientos caseros supervisados.
-
Carillas o coronas: recomendadas en casos severos donde el blanqueamiento no es suficiente.
La clave está en la prevención: una higiene adecuada, visitas regulares al odontólogo y moderar el consumo de bebidas y hábitos que pigmentan los dientes ayudan a conservar una sonrisa luminosa.










